
Zhe Yin, Kenneth J. Fountain, Erin E. Chambers and Diane M. Diehl, Waters Corporation, Milford, Massachusetts, USA.

Zhe Yin, Kenneth J. Fountain, Erin E. Chambers and Diane M. Diehl, Waters Corporation, Milford, Massachusetts, USA.

Many polar compounds are difficult to retain by reversed-phase analysis without the use of ion-pair chromatography. We have overcome this disadvantage with a revolutionary phase structure called "Multi-mode ODS." This technology uses uniformly blended packing material consisting of two types of porous silica particles: 3 μm silica substituted with ODS+cation ligands and 3 μm silica substituted with ODS+anion ligands (Figure 1). This novel multi-mode ODS column, named Scherzo SM-C18, enables a multi-separation mode, consisting of: anion exchange, cation exchange, normal phase, and reversed-phase. In this article, we will validate this multi-separation mode by separating compounds which are difficult to separate on ODS column.

Viruses are packets of infectious nucleic acid (either DNA or RNA) surrounded by a protective coat consisting of a large number of protein subunits. Since viruses can cause various diseases - some life-threatening - characterizing virus particles thoroughly in terms of their size distribution, aggregation, and absolute counts-per-unit volume is of extreme importance.

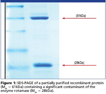
Over-expression of recombinant proteins is commonly used for the production of protein reagents in industry and academia. Problems often occur relating to the stress put on the cells to deal with this huge increase in synthesis. Cellular proteins that are part of the protein synthesis machinery are often up-regulated under such conditions. Large quantities of the recombinant protein can be bound to these cellular proteins, making purification difficult.

Protein phosphorylation is one of the most prevalent intracellular protein modifications, regulating numerous cellular processes including cell differentiation, proliferation, and migration. Approximately 30% of cell proteins are phosphorylated at any given time and changes in protein phosphorylation often signal developmental or pathological disorders (1). To better understand the role of protein phosphorylation, it is important to separate the phosphorylated forms of a given protein.

The new ultrafleXtremeâ„¢ exceeds all current expectations of MALDI-TOF/TOF technology: A proprietary kHz smartbeam-IIâ„¢ MALDI laser integrated with a novel FlashDetectorâ„¢ and re-engineerd electronics makes it the only MALDI-TOF/TOF on the market to provide kHz acquisition in MS and MS-MS modes. It generates a new level of data quality in applications such as LC-MALDI proteomics, high resolution tissue imaging based biomarker discovery or Top-Down Sequencing.

Morphine is an effective pain-relieving drug that is primarily metabolized into morphine-3-glucuronide (M3G) and morphine-6-glucuronide (M6G). The highly potent M6G may have adverse effects, such as respiratory depression and renal failure, if accumulated in the body. As morphine abuse continues to affect modern society, an effective method must be established to analyse morphine and its structurally related compounds in biological fluid samples. In this work, a UPLC–MS-MS method was developed to separate six morphine-related compounds on a 2.1 Ã- 100 mm, 1.8 μm ACQUITY UPLC HSS T3 column in a single run using an ACQUITY UPLC system connected to a fast-scanning triple-quadrupole MS detector (TQD). The method achieved adequate retention of these very polar compounds by reversed-phase (RP) chromatography in an 8-min total run time.

D-Mannose-6-phosphate (M-6-P) is a terminal monosaccharide of some asparagine-linked (N-linked) oligosaccharides and is also part of an important intermediate in N-linked oligosaccharide biosynthesis. Some lysosomal glycoproteins require M-6-P terminated oligosaccharides for proper targeting and function. Lack of M-6-P or genetic defects in its synthesis or subsequent processing can result in a variety of diseases.

Forensic laboratories face a daunting task to identify trace amounts of controlled substances in small samples of seized evidence. Unambiguous identification is required to meet the stiff challenge that is sure to be raised in the courtroom. Positive proof is especially difficult to establish if the controlled substance is hidden in a complex food matrix with a high content of sugars, fats, fatty acids, proteins and alkaloids.

Achieve highly reproducible cIEF separations of basic mAbs using the basic pH gradient cIEF separation method on the PA 800 Protein Characterization System.

Forensic laboratories face a daunting task to identify trace amounts of controlled substances in small samples of seized evidence. Unambiguous identification is required to meet the stiff challenge that is sure to be raised in the courtroom. Positive proof is especially difficult to establish if the controlled substance is hidden in a complex food matrix with a high content of sugars, fats, fatty acids, proteins, and alkaloids.

The new reversed-phase ProSwift® 1 mm i.d. column is a divinylbenzene-based monolithic column for routine chromatography of proteins and other biomolecules. It is available in two different lengths. The shorter (1 Ã- 50 mm) format is designed for fast separations and the longer (1 Ã- 250 mm) format is intended for high resolution analytical separations. However, depending on the application, either can be used for separation of proteins and for coupling with mass spectrometry.

Hydroxyethylstarches (HES) are used increasingly as plasma expanders in medical applications. The HES' circulation time in the blood depends strongly on its molar mass distributions. Historically, polysaccharide characterization by Gel Permeation Chromatography (GPC) has been problematic, especially

A highly sensitive analytical method for the analysis of tamsulosin in human plasma has been developed for use in bioanalytical studies. The solid-phase extraction (SPE) and UPLC–MS–MS methodologies are described, as well as performance against validation parameters.

Additional studies were undertaken to better understand the chromatographic behavior of PEGylated proteins in an effort to improve purification and characterization techniques of such proteins. Proteins were PEGylated using larger (20 KDa and 40 KDa) PEGylation reagents that are commonly used in pharmaceutical drug development. Generated PEGylated proteins were separated from unmodified proteins using different reversed phase medias (Jupiter® C4 and Jupiter® C18). In these studies it was found that the Jupiter C18 media provided the best separation of PEGylated proteins from their unmodified counterparts. Such results further clarify good method starting points for developing analytical and preparative separations of PEGylated proteins.

Out of the several options available for retaining polar compounds like nucleotides, this application note focuses on the use of polar-modified C18 bonded phases for their analysis.

This application note describes a rapid U-HPLC method for the separation of sulphorhodamine 101 (Texas Red®) and its three water-soluble derivatives using a Hypersil GOLD™ column packed with 1.9 μm particles.

Amylose is an occasionally-branched biopolymer and, together with amylopectin, the hyper-branched component, a constituent of starch. Determination of branching in amylopectin on the basis of amyloses may be performed with the help of synthetic amyloses. Synthetic amyloses from enzymatic (phosphorolytic) reaction were checked for their linearity.

Several common birth control formulations contain both drospirenone and ethinyl estradiol. A highly selective and sensitive analytical method for the analysis of drospirenone in human plasma has been developed for use in bioequivalence studies. The solid-phase extraction (SPE) and UPLC–MS–MS methodologies are described as well as performance against validation parameters.

his application note describes the extraction of a variety of basic drugs from plasma using EVOLUTE CX mixed-mode resin-based SPE. The analyte suite includes basic drugs with wide ranging pKa and logP values.

In pharmaceutical development, it is important to analyze small molecules or their metabolites in biological fluids. For this purpose, the analytical methods such as sample pretreatment, 2D-LC and LC–MS have been developed. However there are still problems of resolution and protein adsorption. As a result, satisfying analytical results have not always been achieved.

Bradykinin, a 9 amino acid peptide, is a physiologically and pharmacologically active peptide of the kinin group of proteins, which is used in the development of antagonists and therapies for hereditary angioedema. In this application, 50 mg of crude bradykinin, synthesised on a StratoSpheresâ„¢ PL-Rink resin, is purified using an HPLC method that can be scaled from the laboratory through to full production.

In the last few decades, the novel functions of polysaccharides have provided a major impetus for increasing scientific attention. Among the most promising aspects are their immunomodulatory and antitumor effects, thickening agents and stabilizer effects.

Urea is commonly used in protein purification, including large-scale purification of recombinant proteins for commercial purposes, and in recombinant protein manufacturing to denature and solubilize proteins (1). In aqueous solutions, urea degrades to cyanate and ammonium, with the maximum degradation rate occurring at neutral pHs commonly used in biological buffers (2). Cyanate is problematic in urea solutions because it carbamylates proteins, which causes unwanted modifications that can alter the protein's stability, function, and efficiency. Therefore, an accurate, sensitive method for determining cyanate in urea-containing buffers is required.

There has been an increasing interest in the presence and availability of compounds in plant materials that may possess bioactive properties, in particular, antioxidant activity. Some of these compounds have been attributed to possess anticancer, antiaging, and antimutagenic properties as well as other health benefits (1). The types of plants that have been investigated cover a vast range from common foodstuffs to regional or exotic materials. Plant parts under study have included portions that are traditionally known to be edible, as well as sections that are considered "waste" or used for animal forage. Because most screening techniques involve lengthy separations, high throughput HPLC methods are desirable.

Amylose is an occasionally-branched biopolymer and, together with amylopectin, the hyper-branched component, a constituent of starch. Determination of branching in amylopectin on the basis of amyloses may be performed with the help of synthetic amyloses. Synthetic amyloses from enzymatic (phosphorolytic) reaction were checked for their linearity.



